 |
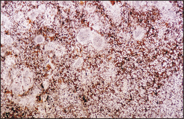
Cornéennes à cordiérite, andalousite, sillimanite, biotite et quartz LPA
Cette cornéennne s'est formée dans l'auréole proximale du granite, à la Cale Jouan.
A survoler pour lire les commentaires
Photos Jean LE GALL |
 |
Cornéennes à cordiérite, andalousite, sillimanite, biotite et quartz en LnPA
A survoler pour lire les commentaires
Photos Jean LE GALL |
 |
Cornéenne à cordiérite, andalousite, biotite, quartz et feldspath en LPA
Auréole proximale - Cale Jouan.
A survoler pour lire les commentaires
Photos Jean LE GALL |
 |
Cornéenne à cordiérite, andalousite, biotite, quartz et feldspath en LnPA
A survoler pour lire les commentaires
Photos Jean LE GALL |

|
Transformation de l'andalousite en sillimanite dans les cornéennes de l'auréole proximale du granite de Flamanville - cale Jouan - LPnA
Les fibres allongées de sillimanite se forment aux dépens des cristaux préexistants d'andalousite dont on devine encore les contours.
A survoler pour lire les commentaires
Photos Jean LE GALL |
 |
Cornéenne micacée tachetée à cordiérite de l'auréole proximale du granite de Flamanville - Cale Jouan - LPnA
A survoler pour lire les commentaires
Photos Jean LE GALL |
 |
Cornéenne à cordiérite, andalousite, biotite, quartz, feldspath. Auréole proximale du granite de Flamanville - Cale Jouan - LPA
A survoler pour lire les commentaires
Photos Jean LE GALL |
 |
Cornéenne à cordiérite, andalousite, biotite, quartz, feldspath. Auréole proximale du granite de Flamanville - Cale Jouan - LPnA
A survoler pour lire les commentaires
Photos Jean LE GALL |
 |
Schiste tacheté à andalousite (variété chiastolite) et cordiérite. Auréole distale du granite de Flamanville - Cale Jouan - LPnA
A survoler pour lire les commentaires
Photos Jean LE GALL |
 |
Schiste tacheté à andalousite (variété chiastolite) et cordiérite. Auréole distale du granite de Flamanville - Cale Jouan - LPnA
A survoler pour lire les commentaires
Photos Jean LE GALL |
 |
Cordiérites syn-schisteuses dans les cornéennes gréso-pélitiques de la ceinture thermométamorphique proximale du granite de Flamanville - Val Jouan.
L'érosion attaque préférentiellement les cordiérites qui apparaissent alors en creux.
A survoler pour lire les commentaires
Photos Jean LE GALL
|